Citation: YUE Ai-Qin, ZHANG Yu-Ting, ZHANG Peng-Qian, GAO Yuan-Yuan, ZHANG Yong-Po, WANG Min, GAO Chun-Yan, ZHAO Jin-Zhong, DU Wei-Jun. Two Copper(Ⅱ) Complexes with dpa-Based Ligand:Syntheses, Structures, Nuclease Activity and Cytotoxicity[J]. Chinese Journal of Inorganic Chemistry, ;2017, 33(12): 2287-2295. doi: 10.11862/CJIC.2017.273 shu

Two Copper(Ⅱ) Complexes with dpa-Based Ligand:Syntheses, Structures, Nuclease Activity and Cytotoxicity

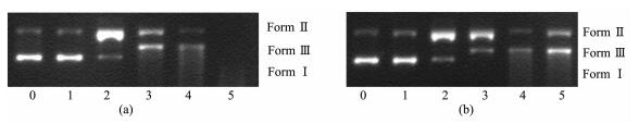
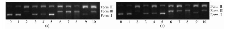
Figures(5)

Metrics
  • PDF Downloads(2)
  • Abstract views(516)
  • HTML views(44)

通讯作者: 陈斌, bchen63@163.com
  • 1. 

    沈阳化工大学材料科学与工程学院 沈阳 110142

  1. 本站搜索
  2. 百度学术搜索
  3. 万方数据库搜索
  4. CNKI搜索
Address:Zhongguancun North First Street 2,100190 Beijing, PR China Tel: +86-010-82449177-888
Powered By info@rhhz.net

/

DownLoad:  Full-Size Img  PowerPoint
Return