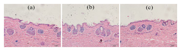
Construction and Penetration Evaluation of d-4-methyl-1-(1-methylethyl)-3-cyclohexen-1-yl Butanoate as Novel Percutaneous Absorption Enhancer
- Corresponding author: Zhao Ligang, tsyxzlg@163.com
Citation:
Chu Tianzhe, Wang Heping, Zhao Ligang. Construction and Penetration Evaluation of d-4-methyl-1-(1-methylethyl)-3-cyclohexen-1-yl Butanoate as Novel Percutaneous Absorption Enhancer[J]. Chemistry,
;2020, 83(10): 929-934.
Cohen-Avrahami M, Libster D, Aserin A, et al. J. Control. Release, 2012, 159(3):419~428.
Salimi A, Hedayatipour N, Moghimipour E. Adv. Pharm. Bull., 2016, 6(1):9~16.
Cohen-Avrahami M, Aserin A, Garti N. Colloid. Surf. B, 2010, 77(2):131~138.
Herman A, Herman A P. J. Pharm. Pharmacol., 2015, 67(4):473~485.
Akhlaq M, Khan G M, Wahab A, et al. J. Adv. Pharm. Technol. Res., 2011, 2(3):151.
Valentová J, Bauerová K, Farah L, et al. Archiv. Dermatol. Res., 2010, 302(8):635~638.
TatulianS. Methods Mol. Biol., 2019, 2003:281~325.
Liu X, Liu M, Liu C, et al. Int. J. Pharm., 2017:529(1-2):161~167.
A S Can, M S Erdal, S Güngör, et al. Molecules, 2013, 18(5):5455~5471.
Bouwstra J A, Dubbelaar F E R, Gooris G S, et al. Biochim. Biophys. Acta, 1999, 1419(2):127~136.
Masukawa Y Y, Narita H H, Shimizu E E, et al. J. Lipid Res., 2008, 49(7):1466.
Wang E, Klauda J B. J. Phys. Chem. B, 2017, 121(43):10091~10104.
Liu X, Quan P, Li S, et al. J. Control. Release, 2017, 248:33~44.
Aili Feng , Xin Lu , Peng Liu , Dongju Zhang . Computational Chemistry Study of Acid-Catalyzed Esterification Reactions between Carboxylic Acids and Alcohols. University Chemistry, 2025, 40(3): 92-99. doi: 10.12461/PKU.DXHX202405072
Guodong Xu , Chengcai Sheng , Xiaomeng Zhao , Tuojiang Zhang , Zongtang Liu , Jun Dong . Reform of Comprehensive Organic Chemistry Experiments in the Context of Emerging Engineering Education: A Case Study on the Improved Preparation of Benzocaine. University Chemistry, 2024, 39(11): 286-295. doi: 10.12461/PKU.DXHX202403094
Yajin Li , Huimin Liu , Lan Ma , Jiaxiong Liu , Dehua He . Photothermal Synthesis of Glycerol Carbonate via Glycerol Carbonylation with CO2 over Au/Co3O4-ZnO Catalyst. Acta Physico-Chimica Sinica, 2024, 40(9): 2308005-0. doi: 10.3866/PKU.WHXB202308005
Jiabo Huang , Quanxin Li , Zhongyan Cao , Li Dang , Shaofei Ni . Elucidating the Mechanism of Beckmann Rearrangement Reaction Using Quantum Chemical Calculations. University Chemistry, 2025, 40(3): 153-159. doi: 10.12461/PKU.DXHX202405172
Ruitong Zhang , Zhiqiang Zeng , Xiaoguang Zhang . Improvement of Ethyl Acetate Saponification Reaction and Iodine Clock Reaction Experiments. University Chemistry, 2024, 39(8): 197-203. doi: 10.3866/PKU.DXHX202312004
Wang Wang , Yucheng Liu , Shengli Chen . Use of NiFe Layered Double Hydroxide as Electrocatalyst in Oxygen Evolution Reaction: Catalytic Mechanisms, Electrode Design, and Durability. Acta Physico-Chimica Sinica, 2024, 40(2): 2303059-0. doi: 10.3866/PKU.WHXB202303059
Haodong JIN , Qingqing LIU , Chaoyang SHI , Danyang WEI , Jie YU , Xuhui XU , Mingli XU . NiCu/ZnO heterostructure photothermal electrocatalyst for efficient hydrogen evolution reaction. Chinese Journal of Inorganic Chemistry, 2025, 41(6): 1068-1082. doi: 10.11862/CJIC.20250048
Hao XU , Ruopeng LI , Peixia YANG , Anmin LIU , Jie BAI . Regulation mechanism of halogen axial coordination atoms on the oxygen reduction activity of Fe-N4 site: A density functional theory study. Chinese Journal of Inorganic Chemistry, 2025, 41(4): 695-701. doi: 10.11862/CJIC.20240302
Chengyan Ge , Jiawei Hu , Xingyu Liu , Yuxi Song , Chao Liu , Zhigang Zou . Self-integrated black NiO clusters with ZnIn2S4 microspheres for photothermal-assisted hydrogen evolution by S-scheme electron transfer mechanism. Acta Physico-Chimica Sinica, 2026, 42(1): 100154-0. doi: 10.1016/j.actphy.2025.100154
Shuying Zhu , Shuting Wu , Ou Zheng . Improvement and Expansion of the Experiment for Determining the Rate Constant of the Saponification Reaction of Ethyl Acetate. University Chemistry, 2024, 39(4): 107-113. doi: 10.3866/PKU.DXHX202310117
Jiali Lei , Juan Wang , Wenhui Zhang , Guohong Wang , Zihui Liang , Jinmao Li . TiO2/CdIn2S4 S-scheme heterojunction photocatalyst promotes photocatalytic hydrogen evolution coupled vanillyl alcohol oxidation. Acta Physico-Chimica Sinica, 2025, 41(12): 100174-0. doi: 10.1016/j.actphy.2025.100174
Xinlong WANG , Zhenguo CHENG , Guo WANG , Xiaokuen ZHANG , Yong XIANG , Xinquan WANG . Enhancement of the fragile interface of high voltage LiCoO2 by surface gradient permeation of trace amounts of Mg/F. Chinese Journal of Inorganic Chemistry, 2024, 40(3): 571-580. doi: 10.11862/CJIC.20230259
Yiping HUANG , Liqin TANG , Yufan JI , Cheng CHEN , Shuangtao LI , Jingjing HUANG , Xuechao GAO , Xuehong GU . Hollow fiber NaA zeolite membrane for deep dehydration of ethanol solvent by vapor permeation. Chinese Journal of Inorganic Chemistry, 2025, 41(2): 225-234. doi: 10.11862/CJIC.20240224
Tiantian Dai , Xi Yang . Teaching Design and Reflection on the “Osmotic Pressure of Solutions” in Medical Chemistry. University Chemistry, 2025, 40(5): 268-275. doi: 10.12461/PKU.DXHX202411032
Yanglin Jiang , Mingqing Chen , Min Liang , Yige Yao , Yan Zhang , Peng Wang , Jianping Zhang . Experimental and Theoretical Investigations of Solvent Polarity Effect on ESIPT Mechanism in 4′-N,N-diethylamino-3-hydroxybenzoflavone. Acta Physico-Chimica Sinica, 2025, 41(2): 100012-0. doi: 10.3866/PKU.WHXB202309027
Wei Sun , Yongjing Wang , Kun Xiang , Saishuai Bai , Haitao Wang , Jing Zou , Arramel , Jizhou Jiang . CoP Decorated on Ti3C2Tx MXene Nanocomposites as Robust Electrocatalyst for Hydrogen Evolution Reaction. Acta Physico-Chimica Sinica, 2024, 40(8): 2308015-0. doi: 10.3866/PKU.WHXB202308015
Kangjuan Cheng , Chunxiao Liu , Youpeng Wang , Qiu Jiang , Tingting Zheng , Xu Li , Chuan Xia . Design of noble metal catalysts and reactors for the electrosynthesis of hydrogen peroxide. Acta Physico-Chimica Sinica, 2025, 41(10): 100112-0. doi: 10.1016/j.actphy.2025.100112
Haiqiang Lin , Weizheng Weng , Jingdong Lin , Mingshu Chen , Xueming Fang , Lefu Yang . Diverse Variables-Driven Catalytic Optimization: Experimental Enhancement and Instructional Design for Selective Methane Oxidation on Supported Nickel-based Catalysts. University Chemistry, 2025, 40(11): 327-336. doi: 10.12461/PKU.DXHX202505106
Xiaofei Liu , He Wang , Li Tao , Weimin Ren , Xiaobing Lu , Wenzhen Zhang . Electrocarboxylation of Benzylic Phosphates and Phosphinates with Carbon Dioxide. Acta Physico-Chimica Sinica, 2024, 40(9): 2307008-0. doi: 10.3866/PKU.WHXB202307008
Zhonghua Xi , Xuanfeng Kong , Jinyue Yang , Bin Liu , Tingyu Zhu , Hui Zhang , Wenwei Zhang . Construction of Public Teaching Instrument Platform and Exploration of Opening Mechanism. University Chemistry, 2024, 39(7): 200-206. doi: 10.12461/PKU.DXHX202405123