Specific Cleavage of Supercoiled Plasmid DNA by (E)-2-Cyano-3-[4-(2, 4-difluorophenoxy) benzylamino]-3-methoxyacrylic acid 2-Ethoxyethyl Ester
- Corresponding author: Ren Xueling, renxueling@zzu.edu.cn
Citation:
Meng Erjuan, Sang Yanxiao, Zhu Zhihui, Liu Shilin, Hu Fangzhong, Ren Xueling. Specific Cleavage of Supercoiled Plasmid DNA by (E)-2-Cyano-3-[4-(2, 4-difluorophenoxy) benzylamino]-3-methoxyacrylic acid 2-Ethoxyethyl Ester[J]. Chemistry,
;2017, 80(10): 953-957.
E Ma, L B Harrington, M R O'Connell et al. Mol. Cell, 2015, 60(3):398~407.
S Gambino, B Mousley, L Cathcart et al. Anal. Biochem., 2016, 495:3~5.
A R Lambert, J P Hallinan, B W Shen et al. Structure, 2016, 24(6):862~873.
T K N Luong, I Govaerts, J Robben et al. Chem. Commun., 2017, 53(3):617~620.
F Z Li, F M Feng, J Y Wu et al. Prog. React. Kinet. Mec., 2016, 41(1):39~47.
S Thota, S Vallala, R Yerra et al. Int. J. Biol. Macromol., 2016, 82:663~670.
Q Cheng, F Zhang, H Zhou et al. J. Coord. Chem., 2015, 68(11):1997~2005.
C X Yuan, Y B Wu, Y B Wei et al. Chin. J. Chem., 2007, 25:1267~1272.
S K Bagherpour Doun, S E Alavi, M K Moftakhari Esfahani et al. Tumour Biology, 2014, 35(8):7491~7497.
K J Humphreys, A E Johnson, K D Karlin et al. J. Biol. Inorg. Chem., 2002, 7:835~842.
Y Zhao, K J Du, S Q Gao et al. J. Inorg. Biochem., 2016, 156:113~121.
J Lin, R T Liu, C Z Gao et al. Spectrochim. Acta A Mol. Biomol. Spectrosc., 2012, 97: 532~535.
N P Andreou, K Dafnopoulos, C Tortopidis et al. J Photochem. Photobiol. B, 2016, 158:30~38.
S Nahid, H Leila. Spectrochim. Acta. A Mol. Biomol. Spectrosc., 2012, 97:406~410.
A Arbuse, M Font, M A Martinez et al. Inorg. Chem., 2009, 48(23):11098~11107.
Min Yan , Zihao Ye , Ping Lu . Catalyst-free, visible-light-induced [2π + 2σ] cycloaddition towards azabicyclohexanes. Chinese Chemical Letters, 2025, 36(6): 110540-. doi: 10.1016/j.cclet.2024.110540
Wen-Xuan Shao , Jianyuan Wu , Gaojie Li , Yi-Hao Min , Qiu-Shuang Hu , Yu Liu , Weimin Ci , Bi-Feng Yuan . Quantitative analysis of N6-methyladenine at single-base resolution in mitochondrial DNA of hepatocellular carcinoma by deaminase-mediated sequencing. Chinese Chemical Letters, 2025, 36(10): 110747-. doi: 10.1016/j.cclet.2024.110747
Chang Liu , Tao Wu , Lijiao Deng , Xuzi Li , Xin Fu , Shuzhen Liao , Wenjie Ma , Guoqiang Zou , Hai Yang . Programmed DNA walkers for biosensors. Chinese Chemical Letters, 2024, 35(9): 109307-. doi: 10.1016/j.cclet.2023.109307
Leyuan Sun , Xiaoyu Xie , Fangfang Chen . 敦煌壁画的“DNA变身”. University Chemistry, 2025, 40(8): 211-217. doi: 10.12461/PKU.DXHX202410079
Yongjian Jiang , Feng Cheng , Jun Zhou , Lei Zhan , Chunmei Li , Chengzhi Huang . Regulation of cancer cell apoptosis with DNA nanocalculator. Chinese Chemical Letters, 2026, 37(1): 110071-. doi: 10.1016/j.cclet.2024.110071
Jia-Li Xie , Tian-Jin Xie , Yu-Jie Luo , Kai Mao , Cheng-Zhi Huang , Yuan-Fang Li , Shu-Jun Zhen . Octopus-like DNA nanostructure coupled with graphene oxide enhanced fluorescence anisotropy for hepatitis B virus DNA detection. Chinese Chemical Letters, 2024, 35(6): 109137-. doi: 10.1016/j.cclet.2023.109137
Yang Qin , Jiangtian Li , Xuehao Zhang , Kaixuan Wan , Heao Zhang , Feiyang Huang , Limei Wang , Hongxun Wang , Longjie Li , Xianjin Xiao . Toeless and reversible DNA strand displacement based on Hoogsteen-bond triplex. Chinese Chemical Letters, 2024, 35(5): 108826-. doi: 10.1016/j.cclet.2023.108826
Xiaohong Wen , Mei Yang , Lie Li , Mingmin Huang , Wei Cui , Suping Li , Haiyan Chen , Chen Li , Qiuping Guo . Enzymatically controlled DNA tetrahedron nanoprobes for specific imaging of ATP in tumor. Chinese Chemical Letters, 2024, 35(8): 109291-. doi: 10.1016/j.cclet.2023.109291
Jingwen Zhao , Jianpu Tang , Zhen Cui , Limin Liu , Dayong Yang , Chi Yao . A DNA micro-complex containing polyaptamer for exosome separation and wound healing. Chinese Chemical Letters, 2024, 35(9): 109303-. doi: 10.1016/j.cclet.2023.109303
Zhongyu Wang , Lijun Wang , Huaixin Zhao . DNA-based nanosystems to generate reactive oxygen species for nanomedicine. Chinese Chemical Letters, 2024, 35(11): 109637-. doi: 10.1016/j.cclet.2024.109637
Jiangshan Xu , Weifei Zhang , Zhengwen Cai , Yong Li , Long Bai , Shaojingya Gao , Qiang Sun , Yunfeng Lin . Tetrahedron DNA nanostructure/iron-based nanomaterials for combined tumor therapy. Chinese Chemical Letters, 2024, 35(11): 109620-. doi: 10.1016/j.cclet.2024.109620
Xiaolong Li , Changjiang Li , Chaopeng Shi , Jiarun Wang , Bei Yan , Xianjin Xiao , Tongbo Wu . CRISPR-Cas systems in DNA functional circuits: Strategies, challenges, prospects. Chinese Chemical Letters, 2025, 36(7): 110507-. doi: 10.1016/j.cclet.2024.110507
Le Yang , Hongye Wei , Zhihe Qing , Linlin Wu . AuNP@DNA nanoflares: Preparation and application in bioanalysis and biomedicine. Chinese Chemical Letters, 2025, 36(8): 110524-. doi: 10.1016/j.cclet.2024.110524
Haozhi Lei , Qian Xia , Xiqiu Wang , Yang Sun , Weihong Tan . Simulation of immune signal transduction through DNA strand displacement. Chinese Chemical Letters, 2025, 36(12): 110941-. doi: 10.1016/j.cclet.2025.110941
Tian Feng , Yun-Ling Gao , Di Hu , Ke-Yu Yuan , Shu-Yi Gu , Yao-Hua Gu , Si-Yu Yu , Jun Xiong , Yu-Qi Feng , Jie Wang , Bi-Feng Yuan . Chronic sleep deprivation induces alterations in DNA and RNA modifications by liquid chromatography-mass spectrometry analysis. Chinese Chemical Letters, 2024, 35(8): 109259-. doi: 10.1016/j.cclet.2023.109259
Zhe-Han Yang , Jie Yin , Lei Xin , Yuanfang Li , Yijie Huang , Ruo Yuan , Ying Zhuo . Research advancement of DNA-based intelligent hydrogels: Manufacture, characteristics, application of disease diagnosis and treatment. Chinese Chemical Letters, 2024, 35(10): 109558-. doi: 10.1016/j.cclet.2024.109558
Xiaofen GUAN , Yating LIU , Jia LI , Yiwen HU , Haiyuan DING , Yuanjing SHI , Zhiqiang WANG , Wenmin WANG . Synthesis, crystal structure, and DNA-binding of binuclear lanthanide complexes based on a multidentate Schiff base ligand. Chinese Journal of Inorganic Chemistry, 2024, 40(12): 2486-2496. doi: 10.11862/CJIC.20240122
Yanfei Liu , Yaqin Hu , Yifu Tan , Qiwen Chen , Zhenbao Liu . Tumor acidic microenvironment activatable DNA nanostructure for precise cancer cell targeting and inhibition. Chinese Chemical Letters, 2025, 36(1): 110289-. doi: 10.1016/j.cclet.2024.110289
Fanghua Zhang , Yuyan Li , Hongyan Zhang , Wendong Liu , Zhe Hao , Mingzheng Shao , Ruizhong Zhang , Xiyan Li , Libing Zhang . Logically integrating exo/endogenous gated DNA trackers for precise microRNA imaging via synergistic manipulation. Chinese Chemical Letters, 2025, 36(1): 109848-. doi: 10.1016/j.cclet.2024.109848
Kun Liu , Yulin Cong , Xiongfeng Luo , Meicun Yao , Zhiyong Xie , Hao Li . Utilizing bivalent aptamers as first DNA agonist to activate RTKs heterodimer of different families. Chinese Chemical Letters, 2025, 36(1): 109839-. doi: 10.1016/j.cclet.2024.109839
Conditions: [MAE]: 80 μmol/L; [DNA] (from 1 to 5): 0.22, 0.29, 0.36, 0.43, 0.50μmol/L respectively. Insert: the plot shows absorbance at different [DNA]/[MAE] ratios.
Conditions: DNA: 5.78μmol/L; MAE (lines 1~6): 33, 40, 47, 53, 60 and 67μmol/L respectively
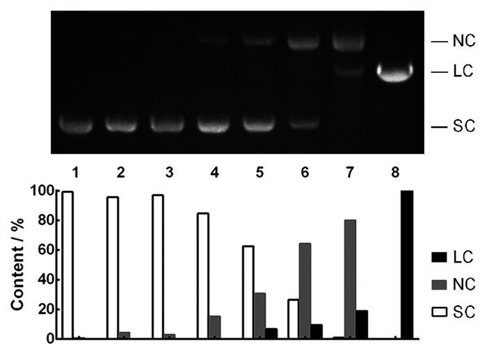
Lane 1: pUC19 DNA control; lane 2~8: DNA cleavage with MAE at time 6, 12, 18, 24, 36, 48, and 72 h respectively
(a):pUC19 plasmid map. Every restriction enzyme site is shown by an underline. Cleavage sites of DNA by MAE are shown by two clipper symbols. (b): Agarose gel electrophoresis of pUC19-MAE DNA incised by different enzymes. lane 1: Normal RunTM prestained 250bp-Ⅱ DNA ladder; lane 2, 3: pUC19 DNA and pUC19-MAE control; lane 4, 6, 8 10: pUC19 digested with Pst Ⅰ, Nde Ⅰ, Pst Ⅰ/Nde Ⅰ, Ase Ⅰ, respectively; lane 5, 7, 9 11: pUC19MAE digested with Pst Ⅰ, Nde Ⅰ, Pst Ⅰ/Nde Ⅰ, Ase Ⅰ, respectively. (c): Partial sequencing result of pUC19-MAE. The recombination sequences are boxed