Citation: Chao Ding, Dan Li, Yan-Wei Wang, Sai-Sai Han, Chun-Mei Gao, Chun-Yan Tan, Yu-Yang Jiang. Discovery of ErbB/HDAC inhibitors by combining the core pharmacophores of HDAC inhibitor vorinostat and kinase inhibitors vandetanib, BMS-690514, neratinib, and TAK-285[J]. Chinese Chemical Letters, ;2017, 28(6): 1220-1227. doi: 10.1016/j.cclet.2017.01.003 shu

Discovery of ErbB/HDAC inhibitors by combining the core pharmacophores of HDAC inhibitor vorinostat and kinase inhibitors vandetanib, BMS-690514, neratinib, and TAK-285

Figures(5)

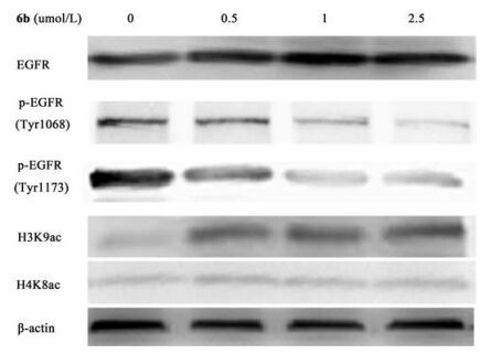
  • By combining the core pharmacophores of HDAC inhibitor vorinostat and kinase inhibitors vandetanib, BMS-690514, neratinib, and TAK-285 with 1, 2, 3-triazole as linker, eight novel 6-substituted-4-aminoquinazolin derivatives were synthesized and characterized by 1H NMR, 13C NMR, and high resolution mass spectrometry. Their inhibitory activities against five enzymes (VEGFR2, HER2, EGFR, HDAC1, and HDAC6) and five cancer cell lines (A549, BT-474, A431, SK-BR-3, and NCI-H1975) were evaluated. The bioassay results show that the introduction of triazole linked vorinostat-like segment dramatically changed the selectivity profiles of newly synthetic compounds relative to vandetanib, BMS-690514, neratinib, and TAK-285. Among them, compound 6b exerted outstanding enzymatic and cellular activities through its simultaneous and synergistic inhibitions on multiple pathways, which might have the great potential to confer the better benefits than single-targeted inhibitors in cancer therapy.
  • 加载中
    1. [1]

      Taby R., Issa J.P.J.. Cancer epigenetics[J]. CA Cancer J. Clin., 2010,60:376-392. doi: 10.3322/caac.20085

    2. [2]

      Mann B.S., Johnson J.R., Cohen M.H., Justice R., Pazdur R.. FDA approval summary:vorinostat for treatment of advanced primary cutaneous T-cell lymphoma[J]. Oncologist, 2007,12:1247-1252. doi: 10.1634/theoncologist.12-10-1247

    3. [3]

      Ellis L., Pan Y., Smyth G.K.. Histone deacetylase inhibitor panobinostat induces clinical responses with associated alterations in gene expression profiles in cutaneous T-cell lymphoma[J]. Clin. Cancer Res., 2008,14:4500-4510. doi: 10.1158/1078-0432.CCR-07-4262

    4. [4]

      Grant C., Rahman F., Piekarz R.. Romidepsin:a new therapy for cutaneous T-cell lymphoma and a potential therapy for solid tumors[J]. Expert Rev. Anticancer Ther., 2010,10:997-1008. doi: 10.1586/era.10.88

    5. [5]

      Yu C., Friday B.B., Lai J.P.. Abrogation of MAPK and Akt signaling by AEE788 synergistically potentiates histone deacetylase inhibitor-induced apoptosis through reactive oxygen species generation[J]. Clin. Cancer Res., 2007,13:1140-1148. doi: 10.1158/1078-0432.CCR-06-1751

    6. [6]

      Jane E.P., Premkumar D.R., Addo-Yobo S.O., Pollack I.F.. Abrogation of mitogenactivated protein kinase and Akt signaling by vandetanib synergistically potentiates histone deacetylase inhibitor-induced apoptosis in human Glioma cells[J]. J. Pharmacol. Exp. Ther., 2009,331:327-337. doi: 10.1124/jpet.109.155705

    7. [7]

      Mahboobi S., Dove S., Sellmer A.. Design of chimeric histone deacetylaseand tyrosine kinase-inhibitors:a series of imatinib hybrides as potent inhibitors of wild-type and mutant BCR-ABL, PDGF-Rb, and histone deacetylases[J]. J. Med. Chem., 2009,52:2265-2279. doi: 10.1021/jm800988r

    8. [8]

      Cai X., Zhai H.X., Wang J.. Discovery of 7-(4-(3-Ethynylphenylamino)-7-methoxyquinazolin-6-yloxy)-N-hydroxyheptanamide (CUDC-101) as a potent multi-acting HDAC, EGFR, and HER2 inhibitor for the treatment of cancer[J]. J. Med. Chem., 2010,53:2000-2009. doi: 10.1021/jm901453q

    9. [9]

      Mahboobi S., Sellmer A., Winkler M.. Novel chimeric histone deacetylase inhibitors:a series of lapatinib hybrides as potent inhibitors of epidermal growth factor receptor (EGFR), human epidermal growth factor receptor 2(HER2), and histone deacetylase activity,[J]. J. Med. Chem., 2010,53:8546-8555. doi: 10.1021/jm100665z

    10. [10]

      Li Y., Tan C., Gao C.. Discovery of benzimidazole derivatives as novel multi-target EGFR, VEGFR-2 and PDGFR kinase inhibitors[J]. Bioorg. Med. Chem., 2011,19:4529-4535. doi: 10.1016/j.bmc.2011.06.022

    11. [11]

      Luan X., Gao C., Zhang N.. Exploration of acridine scaffold as a potentially interesting scaffold for discovering novel multi-target VEGFR-2 and Src kinase inhibitors[J]. Bioorg. Med. Chem., 2011,19:3312-3319. doi: 10.1016/j.bmc.2011.04.053

    12. [12]

      Zhang C., Tan C., Zu X.. Exploration of (S)-3-aminopyrrolidine as a potentially interesting scaffold for discovery of novel Abl and PI3 K dual inhibitors[J]. Eur. J. Med. Chem., 2011,46:1404-1414. doi: 10.1016/j.ejmech.2011.01.020

    13. [13]

      Jin F., Gao D., Wu Q.. Exploration of N-(2-aminoethyl)piperidine-4-carboxamide as a potential scaffold for development of VEGFR-2, ERK-2 and Abl-1 multikinase inhibitor[J]. Bioorg. Med. Chem., 2013,21:5694-5706. doi: 10.1016/j.bmc.2013.07.026

    14. [14]

      Jin F., Gao D., Zhang C.. Exploration of 1-(3-chloro-4-(4-oxo-4Hchromen-2-yl)phenyl)-3-phenylurea derivatives as selective dual inhibitors of Raf1 and JNK1 kinases for anti-tumor treatment[J]. Bioorg. Med. Chem., 2013,21:824-831. doi: 10.1016/j.bmc.2012.04.006

    15. [15]

      Lang X.L., Sun Q.S., Chen Y.Z.. Novel synthetic 9-benzyloxyacridine analogue as both tyrosine kinase and topoisomerase I inhibitor[J]. Chin. Chem. Lett., 2013,24:677-680. doi: 10.1016/j.cclet.2013.05.018

    16. [16]

      Cui Z., Li X., Li L.. Design, synthesis and evaluation of acridine derivatives as multi-target Src and MEK kinase inhibitors for anti-tumor treatment[J]. Bioorg. Med. Chem., 2016,24:261-269. doi: 10.1016/j.bmc.2015.12.011

    17. [17]

      Li L., Zhang C.L., Song H.R.. Discovery of novel dual inhibitors of VEGFR and PI3 K kinases containing 2-ureidothiazole scaffold[J]. Chin. Chem. Lett., 2016,27:1-6. doi: 10.1016/j.cclet.2015.09.008

    18. [18]

      Zhang W., Zhang B., Zhang W.. Synthesis and antiproliferative activity of 9-benzylamino-6-chloro-2-methoxy-acridine derivatives as potent DNAbinding ligands and topoisomerase Ⅱ inhibitors[J]. Eur. J. Med. Chem., 2016,116:59-70. doi: 10.1016/j.ejmech.2016.03.066

    19. [19]

      Liao J.J.L.. Molecular recognition of protein kinase binding pockets fordesign of potent and selective kinase inhibitors[J]. J. Med. Chem., 2007,50:409-424. doi: 10.1021/jm0608107

    20. [20]

      Cai M., Hu J., Tian J.L.. Novel hybrids fromN-hydroxyarylamideand indole ring through click chemistry as histone deacetylase inhibitors with potent antitumor activities[J]. Chin. Chem. Lett., 2015,26:675-680. doi: 10.1016/j.cclet.2015.03.015

    21. [21]

      Bhattacharya S.K., Cox E.D., Kath J.C.. Achieving selectivity between highly homologous tyrosine kinases:a novel selective erbB2 inhibitor[J]. Biochem. Biophys. Res. Commun., 2003,307:267-273. doi: 10.1016/S0006-291X(03)01160-4

    22. [22]

      Bali P., Pranpat M., Swaby R.. Activity of suberoylanilide hydroxamic acid against human breastcancercells with amplification ofHer-2[J]. Clin. Cancer Res., 2005,11:6382-6389. doi: 10.1158/1078-0432.CCR-05-0344

    23. [23]

      Scroggins B.T., Robzyk K., Wang D.. An acetylation site in the middle domain of Hsp90 regulates chaperone function[J]. Mol. Cell, 2007,25:151-159. doi: 10.1016/j.molcel.2006.12.008

    24. [24]

      Steiner P., Joynes C., Bassi R.. Tumor growth inhibition with cetuximab and chemotherapy in non-small cell lung cancer xenografts expressing wildtype and mutated epidermal growth factor receptor[J]. Clin. Cancer Res., 2007,13:1540-1551. doi: 10.1158/1078-0432.CCR-06-1887

    25. [25]

      Chang S., Zhang L., Xu S.. Design, synthesis, and biological evaluation of novel conformationally constrained inhibitors targeting epidermal growth factor receptor threonine790!methionine790 mutant,[J]. J. Med. Chem., 2012,55:2711-2723. doi: 10.1021/jm201591k

    26. [26]

      Chu B., Liu F., Li L.. A benzimidazole derivative exhibiting antitumor activity blocks EGFR and HER2 activity and upregulates DR5 in breast cancer cells[J]. Cell Death Dis., 2015,6e1686. doi: 10.1038/cddis.2015.25

    27. [27]

      Xing Z., Tang X., Gao Y.. The human LIS1 is downregulated in hepatocellular carcinoma and plays a tumor suppressor function[J]. Biochem. Biophys. Res. Commun., 2011,409:193-199. doi: 10.1016/j.bbrc.2011.04.117

    28. [28]

      Merlino G., Xu Y., Ishii S.. Amplification and enhanced expression of the epidermal growth factor receptor gene in A431 human carcinoma cells[J]. Science, 1984,224:417-419. doi: 10.1126/science.6200934

    29. [29]

      Konecny G.E., Pegram M.D., Venkatesan N.. Activity of the dual kinase inhibitor lapatinib (GW572016) against HER-2-overexpressing and trastuzumab-treated breast cancer cells[J]. Cancer Res., 2006,66:1630-1639. doi: 10.1158/0008-5472.CAN-05-1182

    30. [30]

      Wood E.R., Truesdale A.T., McDonald O.B.. A unique structure for epidermal growth factor receptor bound to GW572016(Lapatinib):relationships among protein conformation, inhibitor off-rate, and receptor activity in tumor cells[J]. Cancer Res., 2004,64:6652-6659. doi: 10.1158/0008-5472.CAN-04-1168

    31. [31]

      Lauffer B.E.L., Mintzer R., Fong R.. Histone deacetylase (hdac) inhibitor kinetic rate constants correlate with cellular histone acetylation but not transcription and cell viability[J]. J. Biol. Chem., 2013,288:26926-26943. doi: 10.1074/jbc.M113.490706

    32. [32]

      Patel G., Karver C.E., Behera R.. Kinase scaffold repurposing for neglected disease drug discovery:discovery of an efficacious lapatanib-derived lead compound for trypanosomiasis[J]. J. Med. Chem., 2013,56:3820-3832. doi: 10.1021/jm400349k

    33. [33]

      Gu G., Wang H., Liu P.. Discovery and structural insight of a highly selective protein kinase inhibitor hit through click chemistry[J]. Chem. Commun., 2012,48:2788-2790. doi: 10.1039/c1cc15851a

    34. [34]

      Chen J.B., Chern T.R., Wei T.T.. Design and synthesis of dual-action inhibitors targeting histone deacetylases and 3-hydroxy-3-methylglutaryl coenzyme a reductase for cancer treatment[J]. J. Med. Chem., 2013,56:3645-3655. doi: 10.1021/jm400179b

    35. [35]

      Hugenberg V., Riemann B., Hermann S.. Inverse 12, 3-Triazole-1-yl-ethyl substituted hydroxamates as highly potent matrix metalloproteinase inhibitors:(radio)synthesis, in vitro and first in vivo evaluation[J]. J. Med. Chem., 2013,56:6858-6870. doi: 10.1021/jm4006753

  • 加载中
    1. [1]

      Zimo YangYan TongYongbo LiuQianlong LiuZhihao NiYuna HeYu Rao . Developing selective PI3K degraders to modulate both kinase and non-kinase functions. Chinese Chemical Letters, 2024, 35(11): 109577-. doi: 10.1016/j.cclet.2024.109577

    2. [2]

      Caixia ZhuQing HongKaiyuan WangYanfei ShenSongqin LiuYuanjian Zhang . Single nanozyme-based colorimetric biosensor for dopamine with enhanced selectivity via reactivity of oxidation intermediates. Chinese Chemical Letters, 2024, 35(10): 109560-. doi: 10.1016/j.cclet.2024.109560

    3. [3]

      Congyan LiuXueyao ZhouFei YeBin JiangBo Liu . Confined electric field in nano-sized channels of ionic porous framework towards unique adsorption selectivity. Chinese Chemical Letters, 2025, 36(2): 109969-. doi: 10.1016/j.cclet.2024.109969

    4. [4]

      Wenfeng ZangYixin SunJingyi ZhangYanzhong HaoQianhui JinHongying XiaoZuo ZhangXianbao ShiJin SunZhonggui HeCong LuoBingjun Sun . Two-tailed modification module tuned steric-hindrance effect enabling high therapeutic efficacy of paclitaxel prodrug nanoassemblies. Chinese Chemical Letters, 2025, 36(5): 110230-. doi: 10.1016/j.cclet.2024.110230

    5. [5]

      Conghui WangLei XuZhenhua JiaTeck-Peng Loh . Recent applications of macrocycles in supramolecular catalysis. Chinese Chemical Letters, 2024, 35(4): 109075-. doi: 10.1016/j.cclet.2023.109075

    6. [6]

      Junyi YuYin ChengAnhong CaiXianfeng HuangQingrui Zhang . Synthetic Cu(Ⅲ) from copper plating wastewater for onsite decomplexation of Cu(Ⅱ)- and Ni(Ⅱ)-organic complexes. Chinese Chemical Letters, 2025, 36(2): 110549-. doi: 10.1016/j.cclet.2024.110549

    7. [7]

      Weidan MengYanbo ZhouYi Zhou . Green innovation unleashed: Harnessing tungsten-based nanomaterials for catalyzing solar-driven carbon dioxide conversion. Chinese Chemical Letters, 2025, 36(2): 109961-. doi: 10.1016/j.cclet.2024.109961

    8. [8]

      Ying WangHong YangCaixia ZhuQing HongXuwen CaoKaiyuan WangYuan XuYanfei ShenSongqin LiuYuanjian Zhang . Cascading oxidoreductases-like nanozymes for high selective and sensitive fluorescent detection of ascorbic acid. Chinese Chemical Letters, 2025, 36(4): 110153-. doi: 10.1016/j.cclet.2024.110153

    9. [9]

      Wei-Bin LiXiao-Chao HuangPei LiuJie KongGuo-Ping Yang . Recent advances in directing group assisted transition metal catalyzed para-selective C-H functionalization. Chinese Chemical Letters, 2025, 36(6): 110543-. doi: 10.1016/j.cclet.2024.110543

    10. [10]

      Zhaoyu WenNa HanYanguang Li . Recent Progress towards the Production of H2O2 by Electrochemical Two-Electron Oxygen Reduction Reaction. Acta Physico-Chimica Sinica, 2024, 40(2): 2304001-0. doi: 10.3866/PKU.WHXB202304001

    11. [11]

      Weihan ZhangMenglu WangAnkang JiaWei DengShuxing Bai . Surface Sulfur Species Influence Hydrogenation Performance of Palladium-Sulfur Nanosheets. Acta Physico-Chimica Sinica, 2024, 40(11): 2309043-0. doi: 10.3866/PKU.WHXB202309043

    12. [12]

      Yiran TaoChunlei DaiZhaoxiang XieXinru YouKaiwen LiJun WuHai Huang . Redox responsive polymeric nanoparticles enhance the efficacy of cyclin dependent kinase 7 inhibitor for enhanced treatment of prostate cancer. Chinese Chemical Letters, 2024, 35(8): 109170-. doi: 10.1016/j.cclet.2023.109170

    13. [13]

      Meng GaoJiqiu YinXianChao JiaYe GaoYang Jiao . On-target site enriching fluorescent bioprobe for imaging of receptor tyrosine kinase in tumor. Chinese Chemical Letters, 2025, 36(6): 110297-. doi: 10.1016/j.cclet.2024.110297

    14. [14]

      Yifan FengChengjuan ChenAnqi ShaoQingyang ZhangLan SunHai-Yu HuTiantai Zhang . Recent advances in interleukin-1 receptor-associated kinase 4 (IRAK4) inhibitors and PROTACs. Chinese Chemical Letters, 2025, 36(12): 110963-. doi: 10.1016/j.cclet.2025.110963

    15. [15]

      Wenkai LiuYanxian HouWeijian LiuRan WangShan HeXiang XiaChengyuan LvHua GuQichao YaoQingze PanZehou SuDanhong ZhouWen SunJiangli FanXiaojun Peng . Se-substituted pentamethine cyanine for anticancer photodynamic therapy mediated using the hot band absorption process. Chinese Chemical Letters, 2024, 35(12): 109631-. doi: 10.1016/j.cclet.2024.109631

    16. [16]

      Yao HUANGYingshu WUZhichun BAOYue HUANGShangfeng TANGRuixue LIUYancheng LIUHong LIANG . Copper complexes of anthrahydrazone bearing pyridyl side chain: Synthesis, crystal structure, anticancer activity, and DNA binding. Chinese Journal of Inorganic Chemistry, 2025, 41(1): 213-224. doi: 10.11862/CJIC.20240359

    17. [17]

      Qijun Tang Wenguang Tu Yong Zhou Zhigang Zou . High efficiency and selectivity catalyst for photocatalytic oxidative coupling of methane. Chinese Journal of Structural Chemistry, 2023, 42(12): 100170-100170. doi: 10.1016/j.cjsc.2023.100170

    18. [18]

      Rui HUANGShengjie LIUQingyuan WUNanfeng ZHENG . Enhanced selectivity of catalytic hydrogenation of halogenated nitroaromatics by interfacial effects. Chinese Journal of Inorganic Chemistry, 2025, 41(1): 201-212. doi: 10.11862/CJIC.20240356

    19. [19]

      Tong TongLezong ChenSiying WuZhong CaoYuanbin SongJun Wu . Establishment of a leucine-based poly(ester amide)s library with self-anticancer effect as nano-drug carrier for colorectal cancer treatment. Chinese Chemical Letters, 2024, 35(12): 109689-. doi: 10.1016/j.cclet.2024.109689

    20. [20]

      Shangqian ZhangJiaxuan LiXuan HuZelong ChenJunliang DongChenhao HuShuang ChaoYinghua LvYuxin PeiZhichao Pei . H2S and NIR light-driven nanomotors induce disulfidptosis for targeted anticancer therapy by enhancing disruption of tumor metabolic symbiosis. Chinese Chemical Letters, 2025, 36(1): 110314-. doi: 10.1016/j.cclet.2024.110314

Metrics
  • PDF Downloads(3)
  • Abstract views(2137)
  • HTML views(105)

通讯作者: 陈斌, bchen63@163.com
  • 1. 

    沈阳化工大学材料科学与工程学院 沈阳 110142

  1. 本站搜索
  2. 百度学术搜索
  3. 万方数据库搜索
  4. CNKI搜索
Address:Zhongguancun North First Street 2,100190 Beijing, PR China Tel: +86-010-82449177-888
Powered By info@rhhz.net

/

DownLoad:  Full-Size Img  PowerPoint
Return